老人手术时导丝断裂掉进血管 医院:外科取出意义不大,补偿8000元

封面新闻记者 石伟

9月28日,河南汝州的高女士反映,她的父亲在河南省胸科医院手术时,手术用的导丝末端断裂,一截2厘米左右的导丝被遗留在血管中。

老人手术时导丝断裂掉进血管 医院:外科取出意义不大,补偿8000元

断裂的导丝(受访者供图)

高女士介绍,她的父亲今年62岁,去年因冠心病在河南省胸科医院做过支架植入手术。今年9月2日,因频繁胸闷,再次到该医院复查。

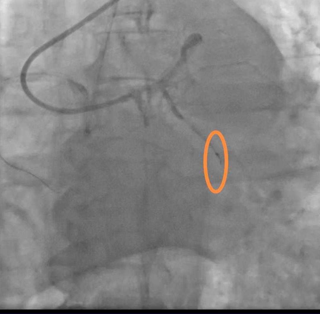
“去年原本在汝州本地医院治疗,医生说当地条件有限,推荐我们去郑州治。9月5日做冠脉造影,微创探查体内的时候,一截导丝断裂掉进血管里。”

病例资料显示,手术操作过程中出现回撤导丝困难,送入微导管尝试至坎顿处未成功,退出微导管时远段导丝断裂,多途径尝试取出断裂导丝均未能成功。

同日,院方请心血管外科一病区会诊,会诊意见为:回旋支内见离断的介入导丝,外科取出导丝意义不大,建议内科治疗。

“医院的意思是,老人的血管狭窄、钙化严重,才导致了导丝断裂,也因此难以通过微创手段取出。他们判断导丝会随着血液流向远端,不会回入心脏附近,没有开胸取出的必要。”高女士称,父亲原本就有血栓,按照医院的说法,他的血管狭窄、钙化严重,随着年龄增长,这些情况应该会越来越加剧,她不明白为什么会得出“没有必要取出”的判断。

“现在的年龄还能扛住大手术,如果70岁、80岁的时候,导丝挡在血栓处,一起形成堵塞,不得不大手术,那时候的老人不一定扛得住。”高女士称,河南省胸科医院拒绝开胸取出导丝,她提出要到其他医院手术取出,希望由河南省胸科医院承担费用,同样被拒绝。

“医院建议走司法鉴定,法院判赔多少就是多少。如果觉得导丝留在体内有心理压力,医院愿意赔偿8000元。”高女士说,目前首要任务应该是将导丝取出,或者由医院出具书面承诺,保证导丝留在体内不会产生不良后果,医院没同意。

高女士提供了一段与医患办工作人的录音,对方称家属提出的30万索赔额度太高,建议走司法程序进行司法鉴定,以此明确医院的过错及比例,对双方都公平,医院会全力配合;如果家属对血管里的导丝感到担心,医院可先补偿8000元。

28日,记者多次拨打河南省胸科医院官网的多个电话,均无人接听。

评论